Ortodoncia Valladolid - Dra. Virginia Castro Sanz
Tratamientos

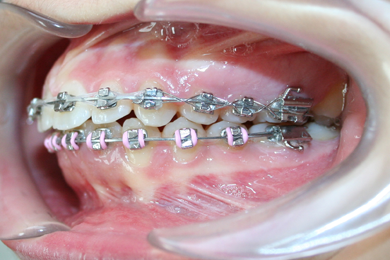
Ortodoncia convencional

La ortodoncia convencional con brackets metálicos sigue siendo una de las opciones más eficaces, versátiles y contrastadas para corregir la posición dental y lograr una mordida funcional y una sonrisa armónica.

¿En qué consiste este tratamiento?

La ortodoncia convencional utiliza brackets metálicos adheridos a los dientes y arcos que permiten aplicar fuerzas controladas para mover cada pieza dental de manera progresiva. Es un tratamiento altamente eficaz y adecuado para una gran variedad de casos, desde los más sencillos hasta los más complejos.

Gracias a una correcta planificación y seguimiento, este sistema permite corregir alineaciones, apiñamientos, maloclusiones y otros problemas funcionales, buscando siempre un resultado estable, saludable y estéticamente satisfactorio.

Eficacia contrastada

Es una opción consolidada y muy eficaz para tratar una amplia variedad de problemas ortodóncicos.

Precisión clínica

Permite un control muy detallado del movimiento dental durante todas las fases del tratamiento.

Versatilidad

Puede utilizarse en numerosos tipos de casos, adaptándose a las necesidades específicas de cada paciente.

Volver a tratamientos